Mucocoele biliaire chez le chien


POINTS CLÉS
La mucocele biliaire est une affection non inflammatoire caractérisée par l'accumulation anormale de mucus dans la lumière de la vésicule biliaire. Cette condition peut entraîner des complications graves, telles qu'une obstruction des voies biliaires ou une rupture de la vésicule biliaire, mettant en danger la vie de l’animal.
Qu’est-ce qu’une mucocele de la vésicule biliaire ?
La mucocele biliaire est une accumulation de mucus qui forme une substance gélatineuse dans la vésicule biliaire. Ce trouble peut s'étendre aux canaux biliaires, provoquant une obstruction. Il est fréquemment associé à des maladies hépatiques chez près de 50 % des chiens affectés.
Implications génétiques et prédispositions raciales
Certaines races, comme les Shetland et les cocker spaniels, semblent prédisposées à cette affection. Une mutation du gène ABCB4, impliqué dans le transport des phospholipides, a été identifiée comme facteur potentiel.
Fréquence et distribution
L’utilisation accrue de l’échographie a permis une augmentation des diagnostics. La maladie touche principalement les chiens de petite à moyenne taille, âgés en moyenne de 10 ans.
Alopécie avec le syndrome de Cushing (Michael Bennaim)
Signes cliniques
Les signes peuvent inclure :
- Perte d'appétit, vomissements, et léthargie.
- Douleur abdominale, diarrhée, ou ictère.
- Chez certains chiens, la mucocele biliaire est une découverte fortuite lors d'une échographie abdominale.
Des antécédents de polydipsie et polyurie peuvent indiquer des maladies concomitantes comme le syndrome de Cushing ou l’hypothyroïdie.
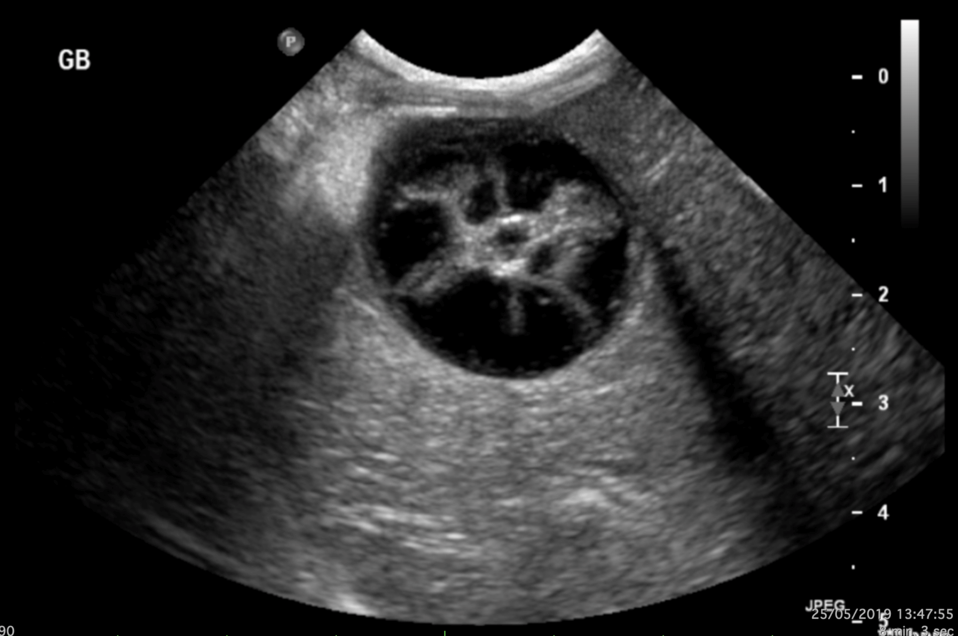
Mucocoele biliaire (@Emilie Fauchon)
Diagnostic
Le diagnostic repose sur l’imagerie médicale, principalement l’échographie. Les caractéristiques typiques incluent :
- Une apparence striée ou étoilée (semblable à un kiwi).
- Une épaississement de la paroi de la vésicule biliaire.
Différences à considérer
Les diagnostics différentiels incluent la pancréatite, la cholécystite, ou encore les néoplasies hépatiques et biliaires. Les analyses de sang révèlent souvent une augmentation des enzymes hépatiques et de la bilirubine.
Traitement
Gestion médicale
Pour les chiens asymptomatiques ou légèrement affectés, un traitement conservateur peut être envisagé :
- Administration de chélorétiques comme l’ursodiol.
- Diète pauvre en graisses.
- Surveillance régulière par échographie.
Cependant, une rupture de la vésicule biliaire nécessite une intervention immédiate.
Chirurgie
La cholécystectomie (retrait de la vésicule biliaire) est le traitement de choix. Elle est indispensable en présence de nécrose ou de rupture. Une vérification de la perméabilité des voies biliaires peut-être nécessaire lors de la prise en charge chirurgicale. Malgré des risques périopératoires élevés, le pronostic à long terme est excellent pour les chiens qui survivent à la chirurgie.
Elle est également vivement recommandée même lors de découverte fortuite et elle peut alors se faire sous laparoscopie guidée par fluorescence à l’aide d’indocyanine verte.
Soins post-opératoires
Une restriction d’activité, une gestion de la douleur, et des contrôles réguliers sont essentiels pour assurer une récupération optimale.
Pronostic
Les chiens traités avec succès ont un bon pronostic à long terme.
Visualisation de la vésicule biliaire, du canal cystique, canal hépatique et le cholédoque avec la fluorescence sous laparoscopie
Conclusion
La mucocele biliaire est une affection sérieuse qui nécessite une prise en charge rapide et adaptée pour éviter des complications potentiellement fatales. Grâce aux avancées en imagerie médicale, notamment l’échographie, son diagnostic est aujourd’hui plus précoce, permettant une meilleure gestion de la maladie. Si certains chiens peuvent bénéficier d’un suivi médical attentif, la chirurgie reste le traitement le plus efficace, notamment en cas de complications. Une surveillance régulière des races prédisposées et une approche proactive en cas de diagnostic sont essentielles pour garantir une meilleure qualité de vie aux animaux atteints.










