Ténosynovite du muscle long abducteur du pouce chez le chien


POINTS CLÉS
La ténosynovite du muscle long abducteur du pouce est une affection orthopédique rare mais significative, touchant principalement les chiens de grande taille. Cette pathologie, souvent sous-diagnostiquée, est une source de douleur et de boiterie chronique, parfois confondue avec d’autres troubles locomoteurs. Comprendre les causes, les signes cliniques et les options thérapeutiques disponibles est essentiel pour les vétérinaires et les propriétaires d’animaux souhaitant améliorer la qualité de vie des chiens affectés.
Anatomie et fonction
Le muscle long abducteur du pouce commence sur le haut du radius, traverse le carpe (poignet) et s’insère sur le premier métacarpien, en dessous du carpe. Il permet l’extension et une légère abduction du premier doigt, équivalent au pouce chez l’homme. Le tendon, cette structure fibreuse robuste, relie le muscle à l’os et joue un rôle crucial dans la mobilité de l’articulation du carpe.
Causes de la ténosynovite
La ténosynovite du LAP résulte généralement d’une sollicitation chronique du tendon, menant à des processus dégénératifs. Avec le temps, cette contrainte excessive provoque une fibrose (épaississement) ou, dans certains cas, une ossification (formation osseuse) à l’intérieur du tendon. Ces modifications réduisent la mobilité du tendon dans sa gaine protectrice, entraînant douleur et boiterie.
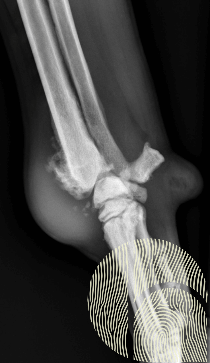
Gonflement sévère de l'articulation du carpe.
Signes cliniques
Les chiens touchés, généralement des races de grande taille comme les Labradors, présentent une boiterie légère à modérée de l’un ou des deux membres thoraciques. Un gonflement palpable ou un épaississement de la face interne du carpe est souvent détecté, accompagné de douleur à la flexion de l’articulation. La boiterie peut devenir chronique, avec des périodes d’amélioration suivies de rechutes.
Diagnostic
Un diagnostic précis repose sur une combinaison d’examen clinique et d’imagerie. Les radiographies et le scanner permettent de visualiser un gonflement des tissus mous et, dans certains cas, une prolifération osseuse sur la face médiale du radius distal. La ténosynovite du LAP peut être bilatérale, rendant l’examen des deux membres essentiel.
Radiographie de face du carpe : Tuméfaction des tissus mous et prolifération osseuse sur la face médiale du radius distal.
Radiographie de profil du carpe : Tuméfaction sévère des tissus mous et prolifération osseuse sur le radius distal.
Scanner: Tuméfaction des tissus mous et prolifération osseuse sur la face médiale du radius distal.
Traitement
Approche conservative
Le traitement conservateur, comprenant des anti-inflammatoires non stéroïdiens (AINS), est rarement efficace pour gérer cette condition. Des interventions supplémentaires sont souvent nécessaires.
Les injections de corticostéroïdes à action prolongée ou de concentrés plaquettaires (PRP) représentent une option dans les cas modérés. Ces injections, administrées directement dans la gaine tendineuse, réduisent l’inflammation et apportent un soulagement temporaire. Ce traitement peut être répété toutes les deux à trois semaines, selon les besoins.
Traitement chirurgical
- Libération tendineuseEn cas de chronicité ou de persistance de la boiterie, une intervention chirurgicale est recommandée. Cette procédure consiste à retirer les tissus fibreux ou ossifiés, permettant au tendon de retrouver sa mobilité. Une incision est pratiquée sur la face interne du carpe pour accéder à la zone affectée.
- TénotomieLa ténotomie, qui consiste à couper le tendon, peut être envisagée dans certains cas. Cependant, cette intervention entraîne souvent une instabilité du carpe et une arthrose, ce qui limite son utilisation en première intention.
Conclusion
La ténosynovite du muscle long abducteur du pouce est une affection rare mais traitable, avec un bon pronostic après une prise en charge adaptée. Le diagnostic repose sur une approche systématique incluant l’imagerie, et le traitement chirurgical demeure la solution la plus efficace dans les cas chroniques. En sensibilisant les vétérinaires et les propriétaires d’animaux à cette condition, il est possible d’offrir une meilleure qualité de vie aux chiens affectés.










