Se former - S'informerLuxation traumatique du coude chez le chien et le chat : diagnostic et traitement


POINTS CLÉS
Qu’est-ce qu’une luxation du coude ?
La luxation du coude est une affection rare mais sérieuse, souvent causée par un traumatisme. Elle correspond au déboîtement des os de l’avant-bras (radius et ulna) par rapport à l’humérus, entraînant douleur, boiterie et limitation fonctionnelle. Chez le chien, les luxations latérales représentent 90 % des cas, tandis que chez le chat, elles restent exceptionnelles. Une prise en charge rapide est essentielle pour éviter les séquelles articulaires.
Anatomie et mécanisme de la luxation
Le coude est une articulation complexe composée de trois os : l’humérus, le radius et l’ulna. Sa stabilité repose sur :
- La forme osseuse (trochlée humérale et processus anconé)
- Les ligaments collatéraux médial et latéral
- La musculature environnante
Lors d’un traumatisme ou d’une flexion excessive, le processus anconé peut sortir de la fosse intercondylienne, permettant la luxation. La majorité des luxations (90 %) sont latérales, avec déplacement externe du radius et de l’ulna, souvent associé à des lésions ligamentaires ou tendineuses.
Signes cliniques
Les signes d’une luxation du coude incluent :
- Boiterie complète avec incapacité à appuyer sur le membre
- Coude fléchi, avant-bras en abduction et rotation externe
- Douleur à la palpation et gonflement articulaire
- Déplacement latéral du radius et de l’ulna
- Possibles atteintes nerveuses, nécessitant un examen neurologique
Une palpation soigneuse permet souvent de suspecter la luxation avant confirmation radiographique.
Diagnostic
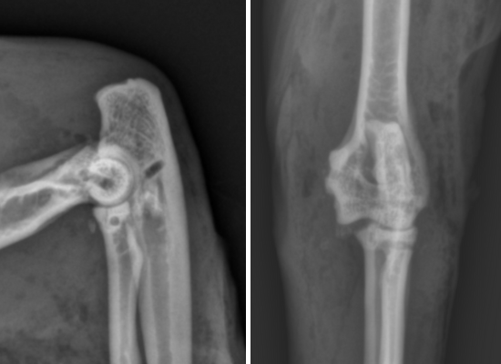
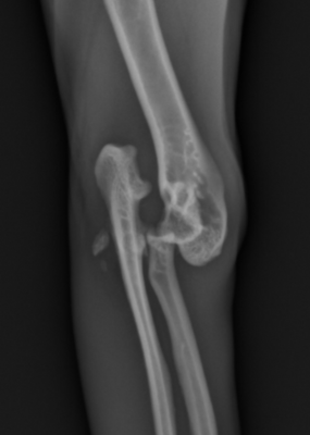
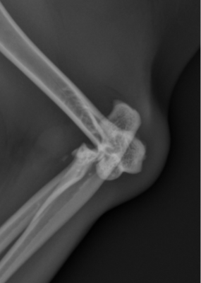
Le diagnostic repose sur des radiographies ciblées :
- Face : met en évidence le décalage latéral du radius et de l’ulna
- Profil : évalue la hauteur du déplacement et détecte d’éventuelles fractures
- Vues obliques : parfois nécessaires pour identifier une luxation latérale isolée
Ces examens servent aussi à planifier le traitement, conservateur ou chirurgical.
Traitement des luxations du coude
Traitement conservateur
Indiqué pour les luxations récentes sans fractures :
- Anesthésie générale pour relaxation musculaire
- Réduction manuelle du coude
- Contrôle radiographique de la réduction
- Immobilisation par bandage rigide (« SPICA ») pendant 4 semaines
- Repos suivi de physiothérapie pour restaurer la mobilité
Contre-indiqué en cas de fractures associées.
Traitement chirurgical
Recommandé en cas de luxation chronique, échec de la réduction ou fractures associées :
- Reconstruction des ligaments endommagés avec fils non résorbables
- Stabilisation articulaire par sutures circumférentielles ou techniques spécifiques
- Immobilisation post-opératoire similaire au traitement conservateur
Chez le chat et pour les luxations complexes chez le chien, la chirurgie reste la méthode privilégiée.
Rééducation et suivi
- Restriction de l’activité physique pendant 4 à 6 semaines
- Exercices de physiothérapie supervisés par le vétérinaire
- Surveillance de la douleur et de la mobilité articulaire
Une rééducation adaptée assure une récupération optimale et limite le risque de récidive.








