Se former - S'informerLa TPLO est une chirurgie osseuse visant à stabiliser le genou sans remplacer le ligament croisé.


POINTS CLÉS
La rupture du ligament croisé crânial (LCC)
La rupture du ligament croisé crânial (LCC) (cf fiche santé rupture ligament croisé) est l’une des affections orthopédiques les plus fréquentes chez le chien. Comparable, chez l’humain, à une rupture du ligament croisé antérieur, elle transforme chaque appui du membre en une mécanique instable et douloureuse.
Chez le chien, la rupture du LCC résulte généralement d’une dégénérescence progressive, contrairement à l’homme où elle est souvent traumatique.
Parmi les options thérapeutiques disponibles, la TPLO chez le chien (Tibial Plateau Leveling Osteotomy) s’est imposée comme une référence moderne en chirurgie vétérinaire orthopédique. Développée dans les années 1990 par Slocum aux États-Unis, cette technique repose sur une approche biomécanique innovante, visant à restaurer la fonction du genou sans remplacer le ligament lésé.
Qu’est-ce que la TPLO ?
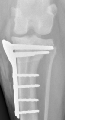
La TPLO est une chirurgie osseuse du genou canin destinée à traiter la rupture du ligament croisé crânial, complète ou partielle. Contrairement aux techniques dites « extracapsulaires », elle ne cherche pas à imiter le ligament rompu, mais à modifier la géométrie du plateau tibial.
Le chien présente une pente tibiale entrainant lors de rupture de ligament croisé une poussée tibiale craniale et un glissement du fémur caudalement.
Concrètement, le chirurgien réalise une ostéotomie circulaire du tibia proximal, puis fait pivoter le plateau tibial afin de réduire son angle. Cette modification neutralise la « poussée tibiale craniale » qui, lors de l’appui, provoquait le glissement anormal du tibia sous le fémur. L’os est ensuite stabilisé à l’aide d’une plaque spécifique et de vis, généralement laissées en place à vie si elles ne provoquent aucune gêne.
On peut comparer cette intervention à un rééquilibrage de pente : là où une surface inclinée favorisait le glissement, la TPLO la rend plane et stable.
À quoi sert la TPLO ?
L’objectif principal de la TPLO est d’obtenir une stabilisation fonctionnelle définitive du genou, indépendamment de l’intégrité du ligament croisé. En modifiant la biomécanique articulaire, le genou devient stable même en l’absence de ligament croisé crânial.
Cette approche est particulièrement pertinente car, chez le chien, la rupture ligamentaire est souvent la conséquence d’un processus dégénératif progressif, et non d’un simple traumatisme isolé. La TPLO s’inscrit donc comme une réponse durable à un problème structurel.
Indications courantes de la TPLO chez le chien
La TPLO n’est pas indiquée pour tous les chiens, mais elle présente un intérêt majeur dans certaines situations cliniques :
- angle du plateau tibial supérieur à 15°
- toutes les tailles de chien
- chiens sportifs ou de travail (chasse, agility, police)
- chiens en surpoids
- arthrose du genou déjà avancée
- ruptures partielles ou débutantes du ligament croisé
- ruptures complètes du ligament croisé
- atteinte bilatérale des deux genoux
- échec ou récidive après une technique chirurgicale classique
Ces critères sont évalués à l’aide d’un examen orthopédique complet et de radiographies précises, indispensables à la planification chirurgicale.
Résultats et risques de la TPLO
Les résultats de la TPLO sont globalement excellents. Environ 95 % des chiens opérés présentent un bon à excellent résultat à long terme, avec une disparition complète ou quasi complète de la boiterie. L’arthrose peut néanmoins apparaître ou progresser, comme avec toute autre technique, mais elle est généralement bien compensée sur le plan fonctionnel.
Comme toute chirurgie osseuse, la TPLO comporte des risques, heureusement peu fréquents :
- troubles de cicatrisation
- infection osseuse (ostéomyélite)
- arthrite septique
- déplacement du plateau tibial
- retard de consolidation osseuse
- complications liées aux implants
- lésions méniscales retardées
Convalescence et suivi après TPLO
La phase post-opératoire est déterminante.
Des contrôles orthopédiques et radiographiques sont réalisés à 1 et 2 mois, afin de vérifier la consolidation osseuse. Un repos strict de 8 semaines est indispensable : seules les sorties en laisse pour les besoins hygiéniques sont autorisées. Les sauts, jeux, escaliers et courses sont proscrits durant cette période.
La rééducation fonctionnelle vétérinaire peut accélérer et optimiser la récupération, en particulier lorsque celle-ci s’avère plus lente que prévu.
Une solution de référence dans le traitement de la rupture du ligament croisé crânial chez le chien.
La TPLO représente aujourd’hui une solution de référence dans le traitement de la rupture du ligament croisé crânial chez le chien. En s’appuyant sur une compréhension fine de la biomécanique du genou, elle offre une récupération fonctionnelle durable, notamment chez les chiens actifs, lourds ou prédisposés à l’arthrose. Bien indiquée et réalisée par un chirurgien spécialisé, elle constitue un investissement thérapeutique solide pour la qualité de vie canine.









