Se former - S'informerL'ostéodystrophie hypertrophique canine : une affection osseuse complexe chez les jeunes chiens en croissance


POINTS CLÉS
L'ostéodystrophie hypertrophique (HOD) est une maladie osseuse développementale qui affecte principalement les jeunes chiens en pleine croissance. Cette affection, également connue sous diverses appellations telles que l'ostéopathie métaphysaire, le scorbut squelettique, le scorbut juvénile, le scorbut infantile, la maladie de Moller Barlow ou l'ostéodystrophie II, se manifeste généralement chez les chiots âgés de 2 à 6 mois. Bien que relativement rare, avec une incidence estimée à 2,8 cas pour 100 000 patients, la HOD peut avoir des conséquences significatives sur la santé et le développement des chiens affectés.
Prédispositions et facteurs de risque
La HOD touche principalement les chiens de grandes et géantes races, bien que toutes les races puissent potentiellement être affectées. Les races présentant un risque accru incluent les Grands Danois, les Retrievers de la baie de Chesapeake, les Setters irlandais, les Boxers, les Bergers allemands, les Golden Retrievers, les Labrador Retrievers et les Weimaraners. Il est intéressant de noter que les mâles semblent être 2,3 fois plus susceptibles de développer la maladie que les femelles, ce qui suggère une possible influence hormonale ou génétique liée au sexe
Étiologie : une énigme médicale
Malgré des années de recherche, l'étiologie exacte de la HOD reste un mystère. Plusieurs hypothèses ont été avancées, puis réfutées, comme une carence en vitamine C ou une surnutrition. Les théories actuelles se concentrent sur :
- Une prédisposition génétique, particulièrement évidente chez les Weimaraners avec une héritabilité estimée à 0,68.
- Un processus inflammatoire ou auto-immun.
- Un lien potentiel avec les vaccinations ou certaines infections virales, bien que cette relation reste controversée.
Il est important de souligner qu'aucune cause unique n'a été identifiée, suggérant une étiologie multifactorielle complexe.
Manifestations cliniques
Les signes cliniques de la HOD peuvent varier en intensité, allant de légers à sévères. Les symptômes caractéristiques incluent :
- Un gonflement des régions métaphysaires des os affectés, souvent chaud au toucher.
- Une boiterie, qui peut être légère ou tellement sévère que le chien refuse de marcher ou de se tenir debout.
- Une douleur à la palpation des zones touchées.
Bien que la HOD puisse affecter n'importe quel os, elle touche le plus souvent le radius distal, l'ulna et le tibia. Dans les cas plus rares, elle peut également impliquer la mandibule, le maxillaire, le crâne, les vertèbres, la scapula, l'humérus, le fémur et les côtes.En plus des signes localisés, les chiens atteints peuvent présenter des symptômes systémiques tels que :
- Une hyperthermie (fièvre)
- Une dépression et une perte d'appétit
- Des troubles digestifs, notamment de la diarrhée
Dans les cas sévères, particulièrement chez les chiots Weimaraners immunodéprimés, une hémoculture peut être indiquée pour détecter une éventuelle bactériémie.
Diagnostic : une approche multifacette
Le diagnostic de la HOD repose sur une combinaison de facteurs :
- L'anamnèse et les signes cliniques caractéristiques.
- L'examen radiographique, qui est crucial pour confirmer le diagnostic.
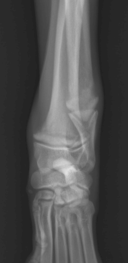
Les radiographies révèlent des signes pathognomoniques, notamment une ligne radiotransparente dans la métaphyse, parallèle à une zone étroite de densité accrue immédiatement adjacente à la physe. Il est important de noter que ces changements radiographiques peuvent ne pas être visibles avant 48 à 72 heures après l'apparition des premiers signes cliniques.Dans les stades plus avancés, on peut observer une prolifération périostée et endostée, ainsi qu'un élargissement excessif des métaphyses, créant un aspect caractéristique en "collerette" osseuse.Le diagnostic différentiel doit inclure l'hyperparathyroïdie nutritionnelle secondaire, la polyarthrite septique, les traumatismes, les noyaux cartilagineux retenus et l'ostéopathie hypertrophique.
Sclérose au niveau de la métaphyse du radius et de l'ulna
Mise en évidence d'une ligne radio-transparente irrégulière en regard de la métaphyse, longeant le cartilage de croissance et séparée de celui-ci par une bande radio-opaque.
Traitement
Complications et suivi
Conclusion
L’ostéodystrophie hypertrophique canine est une maladie osseuse touchant principalement les jeunes chiens de grandes races en pleine croissance. Bien que son origine exacte reste incertaine, elle semble résulter d’une interaction complexe entre facteurs génétiques, inflammatoires et environnementaux. Les symptômes, allant de la boiterie et du gonflement osseux à des manifestations systémiques comme la fièvre et la léthargie, nécessitent une prise en charge adaptée. Le diagnostic repose sur l’examen clinique et les radiographies, tandis que le traitement est essentiellement symptomatique. Si la maladie est souvent auto-limitante, les cas sévères peuvent entraîner des complications. Une prise en charge rapide améliore le pronostic et la qualité de vie des chiens atteints.









