Se former - S'informerOssification incomplète des condyles huméraux chez le chien : symptômes, diagnostic et traitement


POINTS CLÉS
Qu’est-ce que l’ossification incomplète des condyles huméraux ?
L’ossification incomplète des condyles huméraux (OICH) est une anomalie du développement de l’humérus distal. Normalement, les condyles médial et latéral fusionnent durant la croissance pour former un bloc osseux unique.
Lorsque cette fusion ne s’effectue pas complètement, une fissure persiste entre les deux condyles, fragilisant l’os et augmentant le risque de fracture.
Chez le chien adulte, cette affection est considérée comme une malformation d’origine génétique ou développementale. Elle touche particulièrement les races de grand gabarit, en particulier le Springer Spaniel, le Cocker Spaniel, le Labrador Retriever et le Braque allemand.
Même si certains chiens restent asymptomatiques longtemps, cette pathologie peut évoluer silencieusement vers une fracture brutale du condyle huméral, souvent lors d’un simple saut ou d’un jeu banal.
Symptômes de l’ossification incomplète des condyles huméraux
Les signes varient selon la sévérité de la fissure et l’évolution de la maladie. Les symptômes les plus courants incluent :
- Boiterie intermittente du membre thoracique
- Douleur du coude, surtout à l’extension ou la flexion
- Intolérance à l’effort ou difficulté à courir
- Raideur matinale ou après repos
- Claquement ou gêne articulaire lors des manipulations
- Gonflement discret du coude
- Fracture condylienne spontanée, parfois premier signe observable
La douleur peut être bilatérale, car de nombreux chiens présentent une IOCH des deux côtés.
Causes et facteurs de risque
L’origine exacte n’est pas toujours identifiée, mais plusieurs facteurs contribuent à l’apparition de cette anomalie :
- Prédisposition génétique forte chez les Spaniels
- Trouble de l’ossification endochondrale
- Micromouvements répétés entre les condyles durant la croissance
- Activité physique intense chez les jeunes chiens
- Conformation du coude et contraintes mécaniques
La maladie est principalement diagnostiquée chez les chiens jeunes adultes (12 mois à 4 ans).
Diagnostic : comment confirmer une IOCH chez le chien ?
Le diagnostic requiert une combinaison d’examen orthopédique et d’imagerie, car les radiographies simples sont parfois insuffisantes pour visualiser une fissure fine.
1. Examen clinique
Le vétérinaire évalue :
- la boiterie,
- la douleur à la palpation du condyle,
- la mobilité du coude,
- la présence de crépitements ou gonflements.
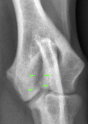
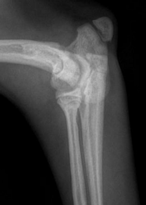
2. Radiographies du coude
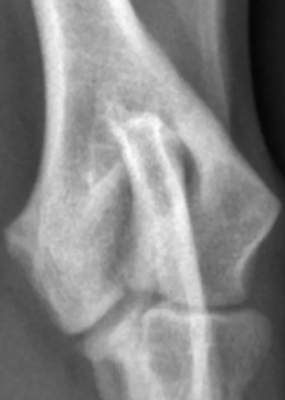
Souvent le premier examen réalisé. Elles peuvent révéler :
- une fine ligne radiotransparente entre les condyles huméraux
- Une réaction périostée sur la crête épicondylaire latérale
- des signes d’arthrose précoce.
Plusieurs vues sont réalisées comprenant une face classique craniocaudal, une vue latérale en flexion, une vue oblique craniomédiale à caudolatérale avec une rotation de 15 degrés.
Cependant, la fissure peut être trop fine pour être visible.
3. Scanner (CT-scan)
Examen de référence pour confirmer une ossification incomplète.
Il permet :
- de détecter précisément la fissure condylienne,
- d’évaluer sa largeur,
- d’analyser les deux coudes simultanément.
On observe une hypoatténuation à travers le condyle huméral, s'étendant de la surface articulaire au foramen supratrochléaire avec une zone de sclérose entourant cette lésion.
4. Évaluation bilatérale systématique
Étant donné que plus de 50 % des chiens atteints présentent l’anomalie des deux côtés, l’examen bilatéral est indispensable.
Traitements de l’ossification incomplète des condyles huméraux
Les options thérapeutiques varient en fonction de la présence ou non d'une fracture, de la douleur et de la taille de la fissure.
Traitement médical
En première intention, le traitement peut rester conservateur. Cependant, cette approche augmente significativement le risque de fracture du condyle huméral. Lorsqu’une ossification incomplète des condyles huméraux est mise en évidence à l’imagerie, entre 8 % et 43 % des cas évoluent vers une fracture, généralement survenant entre 11 jours et 18 mois après le diagnostic.
Indiqué uniquement dans certains cas :
- chien asymptomatique
- fissure fine et stable
- absence de douleur notable
- activité restreinte possible
Il comprend :
- anti-inflammatoires
- restriction d’activité
- contrôle du poids
- suivi par scanner régulier
Cependant, cette option n’empêche pas l’évolution vers une fracture.
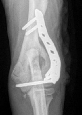
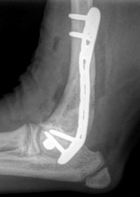
Traitement chirurgical (recommandé dans la majorité des cas)
La chirurgie est considérée comme le traitement de choix pour prévenir les fractures condyliennes.
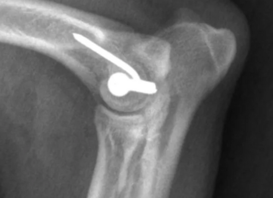
1. Pose de vis transcondylienne
Méthode la plus courante :
une vis est fixée entre les deux condyles pour stabiliser la fissure.
Objectifs :
- empêcher les micromouvements
- réduire la douleur
- prévenir la fracture
- renforcer l’os durablement
La prise en charge chirurgicale demeure aujourd’hui l’option thérapeutique la plus efficace, avec un excellent pronostic de récupération fonctionnelle. L’intervention consiste le plus souvent en la mise en place d’une vis transcondylienne, pouvant être appliquée en compression afin d’optimiser la stabilité osseuse.Cette vis peut-être mise en place de manière minmallement invasive.
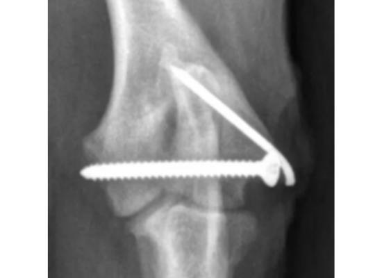
Cette approche chirurgicale réduit significativement le risque de complications ultérieures, notamment en cas d’ossification incomplète ou de fragilité structurelle du condyle huméral. Selon les préférences et l’expertise du chirurgien, il est parfois recommandé d’ajouter une plaque ou une broche au niveau de la crête épicondylaire, renforçant ainsi la fixation et sécurisant davantage la consolidation.
2. Chirurgie après fracture
Si la fissure évolue en fracture, une fixation plus complexe est nécessaire, combinant vis intercondylienne et plaques.
Suivi post-opératoire et évolution
Après chirurgie, les étapes clés comprennent :
- repos strict 6 à 8 semaines
- anti-inflammatoires et antalgiques
- reprise d’activité progressive
- contrôle radiographique
Le pronostic est généralement bon lorsque l’intervention est réalisée avant la fracture.
Les complications possibles incluent :
- irritation locale du matériel,
- arthrose du coude,
- récidive très rare si la vis casse ou se déplace.
Lorsque les deux coudes sont atteints, une prise en charge progressive est envisagée selon les symptômes.









