Se former - S'informerLigament croisé cranial chez le chien : symptômes, diagnostic et traitements (TPLO, suture, prothèse)


POINTS CLÉS
Vue de face du genou
Comprendre la rupture du ligament croisé cranial
Le genou du chien, ou grasset, est une articulation complexe composée de tendons, cartilage, ménisques et ligaments. Les ligaments croisés, situés au centre du genou, contrôlent les mouvements d’avant en arrière et la rotation.
Le ligament croisé cranial (LCC) est le plus souvent touché. Sa rupture entraîne douleur, boiterie et arthrose, et nécessite une prise en charge adaptée.
Causes et facteurs de risque
Chez le chien, la rupture du LCC résulte généralement d’une dégénérescence progressive, contrairement à l’homme où elle est souvent traumatique. Plusieurs facteurs prédisposent : l’obésité, la conformation individuelle du genou, un déséquilibre hormonal, des affections articulaires inflammatoires, une luxation de rotule, et certaines races (Labrador, Rottweiler, Boxer, West Highland White Terrier, Terre-Neuve).
Une rupture partielle peut évoluer vers une rupture complète. Entre 40 et 60 % des chiens touchés peuvent également présenter une lésion au genou opposé. La rupture peut s’accompagner de lésions méniscales, aggravant la douleur et limitant la mobilité.
Signes cliniques
Les manifestations typiques incluent :
- Boiterie modérée à sévère, soudaine ou progressive
- Difficultés à se lever ou démarche raide
- Douleur et gonflement du genou
- Diminution de l’amplitude articulaire
- Crépitements liés à l’arthrose
La gravité dépend du stade de la rupture et de la présence de lésions méniscales.
Diagnostic
Le vétérinaire combine plusieurs examens :
- Examen orthopédique spécialisé (test du tiroir) pour détecter la laxité articulaire
- Radiographies pour visualiser anomalies osseuses et arthrose

- Arthroscopie si nécessaire pour confirmer la rupture de ligaments croisés et d’éventuelles les lésions méniscales

Options thérapeutiques
Traitement médical
Réservé aux chiens présentant un risque anesthésique élevé, il associe gestion du poids, limitation de l’activité, anti-inflammatoires et physiothérapie. Ce traitement ne restaure pas la stabilité du genou.
Traitement chirurgical
Deux grandes approches :
Techniques extra-articulaires (prothèses) : remplacent le ligament rompu par un système synthétique. Adaptées aux chiens de petite taille, elles offrent souvent un retour fonctionnel satisfaisant, mais présentent des limites mécaniques chez les chiens lourds et athlétiques.
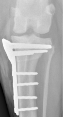
Ostéotomie tibiale (TPLO) : modifie la géométrie du tibia pour que le ligament croisé ne soit plus nécessaire à la stabilité. Le fragment tibial supérieur est pivoté et fixé par plaque et vis. Cette technique offre une récupération plus rapide, des résultats fiables (95 % de succès) et protège le genou opposé. (Voir la fiche santé info TPLO)
L’arthrose déjà présente ne peut être éliminée, mais un traitement précoce limite sa progression
Suivi post-opératoire
Le succès dépend largement des soins : repos strict, physiothérapie, hydrothérapie, contrôles vétérinaires réguliers et médication adaptée. Avec une prise en charge appropriée, le chien retrouve généralement une mobilité normale et la progression arthrosique est ralentie.









