Fracture Salter Harris : intervention pour une récupération optimale


POINTS CLÉS
Les fractures des plaques de croissance, bien que fréquentes chez les jeunes chiens et chats, sont des blessures qui exigent une attention particulière en raison de leur potentiel d'impact sur la croissance et la fonctionnalité des membres. Les plaques de croissance, ces zones délicates situées à l’extrémité des os longs, jouent un rôle crucial dans le développement osseux.
Comprendre les plaques de croissance
Les plaques de croissance, également appelées cartilages de conjugaison, sont des structures situées près des extrémités des os longs chez les jeunes animaux. Elles sont essentielles pour la croissance en longueur des os, permettant aux chiots et chatons de développer une charpente solide et équilibrée. La majorité de la croissance longitudinale des os se produit entre quatre et douze mois. Passé cet âge, les os achèvent leur croissance, et les plaques de croissance finissent par se refermer naturellement, ce qui les rend invisibles à la radiographie après un an dans la plupart des cas.
En raison de leur structure cartilagineuse et de leur relative souplesse, les plaques de croissance sont plus susceptibles de se fracturer comparativement aux autres régions osseuses plus dures chez le jeune.
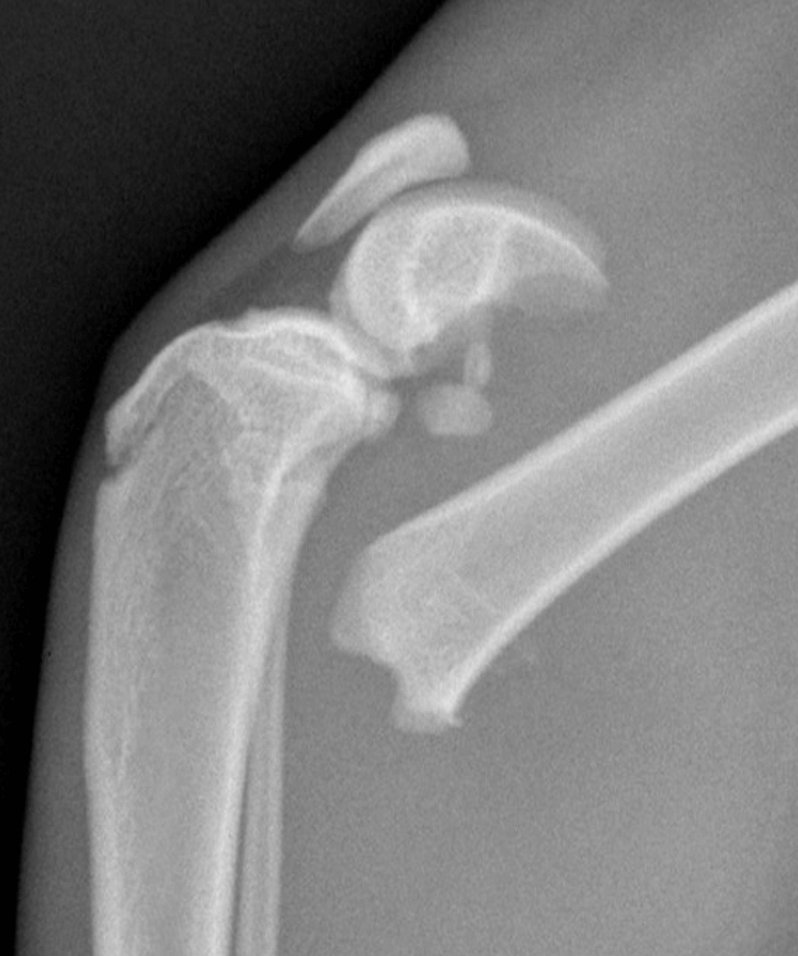
Fracture Salter Harris Type I du fémur distal chez Olaf
Les Fractures de la plaque de croissance : classification et diagnostic
Les fractures des plaques de croissance sont classées selon la classification de Salter-Harris, un système qui divise ces fractures en cinq types, en fonction de leur localisation et de leur gravité. Ce système, initialement conçu pour les humains, est également applicable aux animaux :
- Type 1 : La fracture se situe au niveau de la plaque de croissance elle-même, sans toucher l'os adjacent (souvent au niveau de la hanche ou du genou).
- Type 2 : La fracture traverse la plaque de croissance et la métaphyse (fréquente au genou).
- Type 3 : La fracture atteint l’articulation, impliquant la plaque de croissance et l'épiphyse (observée au coude).
- Type 4 : La fracture atteint l’articulation, impliquant la plaque de croissance, l'épiphyse et la métaphyse (observée au coude).
- Type 5 : Il s’agit d’un écrasement de la plaque de croissance, souvent au niveau de l’ulna ou du radius, entraînant une déformation angulaire du membre.
Les fractures de types 1 et 2 présentent le meilleur pronostic, tandis que les types 4 et 5 impliquent souvent des dommages plus importants. Une fois le type de fracture identifié via radiographie, le vétérinaire peut élaborer un plan de traitement.
Traitement chirurgical et soins post-opératoires
Le traitement chirurgical dépend du type de fracture et de son emplacement. Dans certains cas, une intervention rapide est cruciale pour minimiser les déformations futures. Par exemple, une fracture fermée au niveau de l’ulna nécessite souvent une ostectomie précoce pour permettre une croissance harmonieuse du radius. Les fractures de types 1 et 2 sont généralement réparées avec des broches, tandis que les types 3 et 4, qui affectent l’articulation, peuvent nécessiter l’insertion de vis et de broches ou des plaques pour stabiliser l’os.
Avant l’opération, le propriétaire doit veiller à ce que son animal soit à jeun et informer l’équipe chirurgicale des médicaments en cours. L’animal est placé sous anesthésie générale, avec un suivi des paramètres vitaux pendant toute la procédure pour assurer sa sécurité.
Après la chirurgie, des analgésiques sont administrés pour contrôler la douleur. Il est essentiel de restreindre l’activité de l’animal pour permettre une récupération optimale, généralement entre deux et quatre semaines, accompagnée d’exercices de réhabilitation à domicile ou en clinique. Les radiographies de suivi permettent de surveiller la guérison osseuse et d’ajuster le traitement si nécessaire. À la huitième semaine, la majorité des animaux sont capables de supporter leur poids, même si les exercices doivent rester modérés pendant les trois premiers mois.
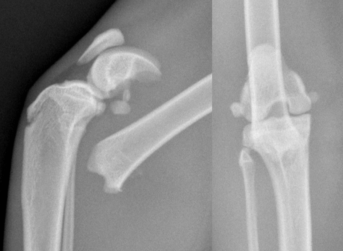
Fracture Salter Harris Type I du fémur distal chez Olaf (profil et face)
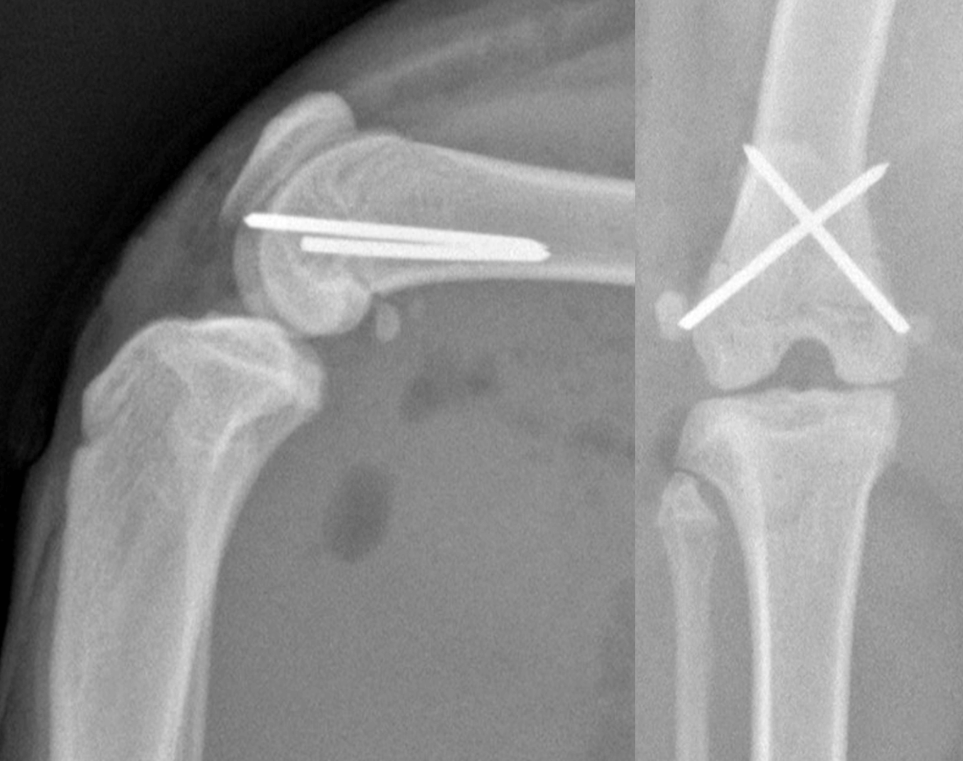
Fracture Salter Harris Type I du femur distal chez Olaf traitée par un brochage en croix (profil et face)
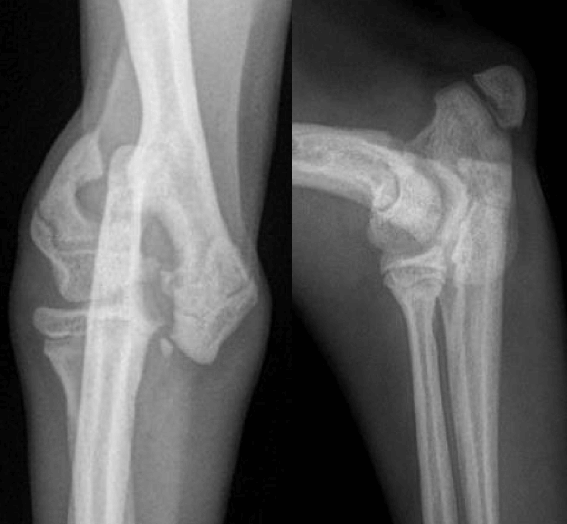
Salter Harris type IV de l’humerus distal sur Yuki un chihuahua de 3 mois (face et profil)
Fracture Salter Harris type IV de l’humerus distal sur Yuki traité par vis intercondylienne et une plaque LCP latérale. (face et profil )
Conséquences et Complications
Malgré une prise en charge rapide, certaines complications peuvent survenir. Les fractures des plaques de croissance peuvent entraîner un raccourcissement de l'os concerné, surtout si la plaque devient non fonctionnelle. Si l’os raccourci est inférieur de moins de 20 à 25 % par rapport à sa longueur normale, l’animal ne présentera souvent qu'une légère boiterie, invisible à l’œil non averti, en raison de leur démarche naturellement plus basse que celle des humains.
Les autres complications possibles incluent une déformation angulaire, des infections, ou encore de l’arthrite dans les articulations touchées. La fracture de type 5, en particulier, peut causer des torsions complexes du membre, surtout au niveau du poignet. Dans des cas rares, une fracture mal consolidée peut nécessiter une intervention corrective supplémentaire.
Conclusion
Les fractures des plaques de croissance représentent un défi unique dans le développement des jeunes chiens et chats. Bien que la majorité de la croissance osseuse se produise avant l’âge de huit mois, une fracture durant cette période critique peut avoir des effets durables sur la santé et la mobilité de l’animal. Les propriétaires, en collaboration avec les vétérinaires, jouent un rôle clé dans la prise en charge rapide et adéquate de ces blessures. Un suivi régulier et des soins postopératoires rigoureux sont essentiels pour assurer la meilleure récupération possible et réduire les risques de complications.









