L’échographie des glandes thyroides et parathyroides normales


POINTS CLÉS
L’échographie cervicale est une technique non invasive qui permet d'examiner de manière détaillée les structures anatomiques situées dans la région cervicale, telles que les glandes thyroïdes, les glandes parathyroïdes, et les autres structures comme les nœuds lymphatiques et les glandes salivaires. Pour être capable de détecter des anomalies thyroidiennes ou parathyroidiennes à l’échographie, il est indispensable de connaitre préalablement les aspects échographiques normaux des glandes thyroïdes et parathyroïdes.
Technique Échographique et Préparation du Patient
Une sonde linéaire à haute fréquence est à privilégier pour l’examen de ces structures cervicales. Cette sonde permet d’obtenir des images de haute résolution, cruciales pour examiner les structures cervicales de petite taille, comme les glandes thyroïdes et parathyroïdes.
Le patient doit être placé en décubitus dorsal, avec une contention permettant d’éviter toute rotation de la tête, et avec les membres thoraciques maintenus en arrière, le long du thorax. La région cervicale doit être tondue, la peau nettoyée à l’alcool, et du gel échographique doit être appliqué pour améliorer la transmission des ondes sonores.
Les repères vasculaires cervicaux
Les repères vasculaires jouent un rôle clé dans l’identification des structures cervicales. Les veines jugulaires externes et les artères carotides communes sont paires, visibles sous forme de structures tubulaires en coupe longitudinale et circulaire en coupe transverse, présentant une lumière anéchogène et une paroi hyperéchogène, plus épaisse pour les structures artérielles que veineuses. Ces vaisseaux servent de repères pour localiser les glandes thyroïdes et parathyroïdes.
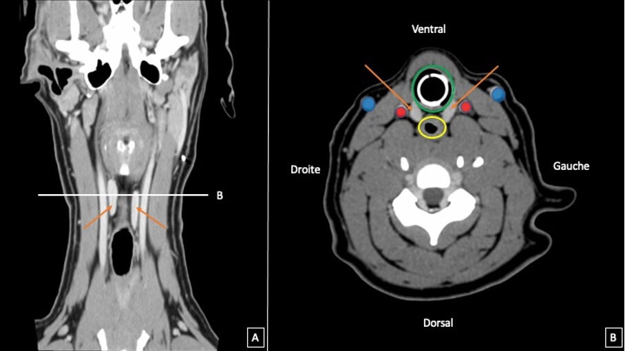
Coupe tomographiques cervicales chez le chien mettant en évidence les rapport anatomiques entre la trachée (vert), l’œsophage (jaune), les artères carotides communes (rouge) les veines jugulaires externes (bleu) et les lobes thyroïdiens (flèches oranges).
La glande thyroïde: aspect échographique normal
La glande thyroïde est composées de deux lobes, situées en position dorso-latérale à la trachée, de part et d’autre de l’artère carotide commune. Ces lobes s’étendent du cartilage cricoïde cranialement, jusqu’au 5ème à 7ème anneau trachéal caudalement. Leur examen échographique commence par une coupe transversale réalisée immédiatement caudalement au larynx. Les lobes thyroidiens se présentent sous forme de structures triangulaires situées entre la trachée et les artères carotides communes.
L’aspect échographique des glandes thyroïdes est caractérisé par leur hyperéchogénicité par rapport aux muscles environnants. Elles apparaissent homogènes et bien délimitées par une fine capsule hyperéchogène. En coupe longitudinale, les lobes apparaissent sous forme de structures fusiformes, avec une taille variant généralement entre 2,5 et 3 cm de longueur pour une épaisseur d’environ 5 mm. Il est essentiel de noter que le volume des glandes thyroïdes est lié au poids du patient.
Echographie cervicale réalisée avec une sonde linéaire haute fréquence chez un chien. A gauche: Coupe transverse en position paramédiane droite au niveau du lobe thyroïdien droit (flèche orange) et son rapport anatomique avec l’interface trachéale (vert) et l’artère carotide commune droite mise en évidence par son signal Doppler. A droite: Coupe longitudinale du lobe thyroïdien droit (orange).
Les glandes parathyroïdes : aspect échographique normal
Les glandes parathyroïdes sont des structures très petites et difficiles à visualiser, ce qui fait de l’échographie l’outil privilégié pour leur examen. Ces glandes sont localisées à proximité des glandes thyroïdes, une glande externe étant située au pôle crânial du lobe thyroidien, et une glande interne dans le parenchyme. En moyenne, chaque lobe thyroïdien comporte deux glandes parathyroïdes, ce qui donne un total de quatre glandes parathyroïdes chez l'animal. Cependant, il existe des variations anatomiques concernant leur nombre et leur localisation.
En échographie, les glandes parathyroïdes apparaissent comme des structures rondes, bien définies, et très hypoéchogènes à anéchogènes. Leur taille est inférieure à 2 mm de diamètre et environ 3,3 mm de long chez le chien. Il est important de noter que ces glandes sont parfois difficiles à visualiser, en particulier chez les chats, notamment chez les individus âgés. L’examen échographique permet ainsi de repérer ces petites glandes avec une grande précision, aidant au diagnostic de diverses pathologies, notamment celles liées à l’hyperparathyroïdie.
Echographie cervicale réalisée avec une sonde linéaire haute fréquence chez un chien. Coupe transverse (à gauche) et longitudinale (à droite) du lobe thyroïdien droit mettant en évidence la glande parathyroide craniale (vert)
L’examen échographique cervical représente un atout considérable dans l’évaluation des structures cervicales ventrales, incluant les glandes thyroïdes et parathyroïdes. Il s’agit d’un examen très peu invasif, peu couteux, fournissant des images de haute qualité à la sonde linéaire. Il constitue un examen de choix dans certaines pathologies thyroïdiennes ou parathyroïdiennes, et permet de guider efficacement les décisions diagnostiques et thérapeutiques.










